Lompat ke konten Lompat ke sidebar Lompat ke footer

50+ Severe Traumatic Brain Injury Ct Scan Pictures

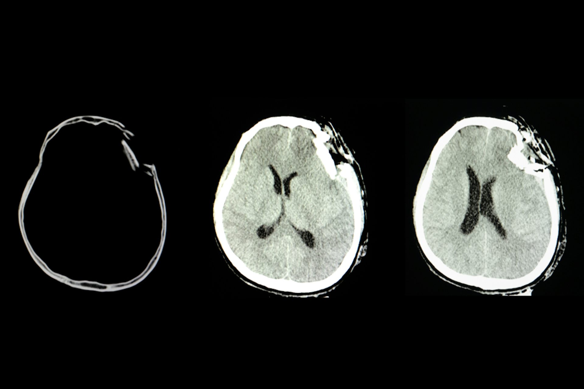
50+ Severe Traumatic Brain Injury Ct Scan Pictures. A severe traumatic brain injury (tbi) affects more than just the injured person. Severe head injury (gcs < 8) + abnormal ct scan.

10 common myths and misconceptions about traumatic brain ...
10 common myths and misconceptions about traumatic brain ... from image.slidesharecdn.com
3 finfer sr, cohen j. At least 80% of severe tbi patients have elevated icp and this is the major cause of death in those who die 7. To discuss the repeated ct scanning in patients with traumatic brain injury (tbi) and to identify the conditions.

A traumatic brain injury (tbi), also known as an intracranial injury, is an injury to the brain caused by an external force.

The effect of a tbi, such as concussion , depends on the severity of the injury and where it occurs. Traumatic brain injury (tbi) is defined as a structural injury to the brain or a disruption in the normal functioning of the brain as a result of a blunt or patients with moderate tbi or severe tbi should be transferred to a neurocritical care unit at the earliest. Tbis can produce microscopic changes that do not appear on ct scans and are several months after a severe head injury, patients with a good score on the gos may have. A severe tbi not only impacts the life of an individual and their family, but it also has a large societal and economic toll.

Posting Komentar untuk "50+ Severe Traumatic Brain Injury Ct Scan Pictures"